Zahnbehandlungen in der Türkei sind für Menschen aus den USA und dem Vereinigten Königreich eine sehr angesagte Option, da sie die besten zahnärztlichen Behandlungsergebnisse zu günstigen Preisen erhalten können. Die durchschnittlichen Kosten für Zahnbehandlungen variieren zwischen 360 USD und 8120 USD.
Der Preis hängt von der Art der Zahnbehandlung, dem Gesundheitszustand der Patienten und der Qualität der Kliniken ab. Außerdem bevorzugen viele Menschen İstanbul für Zahnbehandlungen, weil sie schöne Orte in Istanbul besuchen können, während sie zur Behandlung anreisen.
Heutige Patienten können ästhetisch ansprechende zahnfarbene Füllungen erhalten oder durch zahnärztliche Behandlungen bei Zahnverlust die Funktion ihrer Zähne wiederherstellen lassen.
Mit modernen Methoden der Schmerzlinderung in unserer Klinik in Istanbul, Türkei. Wir sorgen dafür, dass sich unsere Patienten unabhängig von der Art des Eingriffs und dem Grad ihrer Angst wohl fühlen.
In unserer Klinik setzen wir nur fortschrittliche Zahnmedizin ein, um die Zähne der Patienten zu reparieren. Wenn Sie eine Zahnbehandlung in der Türkei in Erwägung ziehen, würden wir Ihnen gerne helfen, Ihr Lächeln zurückzubekommen. Kontaktieren Sie uns.
Kostenlos Beraten Lassen
Table of Contents
Wissenswertes über Zahnbehandlungen
Wir haben die Antworten auf Ihre Fragen rund um Zahngesundheit und Kariesprävention für Sie zusammengestellt. Wenn die Mund- und Zahnpflege nicht regelmäßig und richtig durchgeführt wird, nimmt die Anzahl der Bakterien im Mund zu und haftet an der Zahnoberfläche.
- Parodontal Erkrankungen sind Erkrankungen, die durch eine Entzündung des Zahnfleisches und der Weichteile verursacht werden, die unsere Zähne stützen. Bei Erwachsenen treten 70 % Zahnverlust aufgrund von Parodontal Erkrankungen auf.
- Es handelt sich um Erkrankungen, die mit Früherkennung behandelt werden können Parodontal Erkrankungen beginnen zunächst mit einer Gingivitis. Während dieser Zeit begann das Zahnfleisch zu bluten und wurde rot.
- Obwohl es zunächst keine großen Beschwerden verursacht, kann es, wenn es nicht behandelt wird, zu irreversiblen Schäden am Kieferknochen kommen.
- Gingivarezession ist eine der Zahnfleischerkrankungen, die bei einem großen Teil der Bevölkerung auftritt. Gingivarezession ist eine Krankheit, bei der die Zahnwurzeln geöffnet werden, wobei das Zahnfleischgewebe, das die Zähne umgibt, verschoben wird. Zahnfleischrückgang verursacht ästhetische und Empfindlichkeitsbeschwerden.
- Es ist ein negativer Zustand, der aufgrund von unbehandelten Zahnfleischerkrankungen und aufgrund nicht erfolgter Zahnsteinreinigung auftritt. Wenn Zahnfleischrückgang nicht behandelt wird, führt dies zu Zahnverlust.
- Zahnempfindlichkeit oder Dentin Empfindlichkeit ist ein sehr häufiges Problem. Es tritt als Folge von Zahnfleischrückgang und Zahnschmelzerosion auf.
- Zahnfleischempfindlichkeit wird normalerweise im Alter zwischen 20 und 50 Jahren beobachtet.
- Da das Dentin freigelegt wird, gelangen äußere Auslöser wie sehr heiße und sehr kalte Getränke in den empfindlichen Bereich des Zahns und verursachen kurzzeitige Beschwerden.
- Wenn die Mund- und Zahngesundheit nicht regelmäßig und richtig durchgeführt wird, verursachen die auftretenden Schäden oft irreversible Situationen. In diesem Fall wird eine Zahnfleischoperation, die die häufigste Behandlung ist, dieses Problem lösen.
- Zahnfleischempfindlichkeit und Zahnfleischprobleme können durch Probleme wie kräftiges Zähneputzen und Zähneknirschen entstehen.
Zahnbehandlungen in İzmir, Antalya oder İstanbul
Viele Touristen reisen für ihre Zahnbehandlungen in die Türkei. Der Preis für Zahnbehandlungen in der Izmir oder Antalya Türkei kann insbesondere in den touristischen Regionen teuer sein. Trotzdem sind die Preise im Vergleich zu den Istanbul Turkei immer noch wettbewerbsfähig.
Ein weiteres beliebtes Verfahren in der Istanbul Türkei sind Zahnfurniere. Furniere sind dünne Porzellan- oder Harzblätter, die auf Ihre Zähne aufgetragen werden. Der Prozess ist schmerzlos und erfordert wenig Sorgfalt. Die Furniere lassen Ihre Zähne weißer aussehen.
Während der Zahnverfall ein wachsendes Problem auf der ganzen Welt ist, beherbergt die Türkei einige der besten Zahnärzte der Welt. Diese Kliniken bemühen sich, mit der Technologie Schritt zu halten und die höchste Servicequalität aufrechtzuerhalten.
Das Ergebnis ist ein überlegenes Kundenerlebnis und ein verbessertes Lächeln. Wenn Sie einen Zahn vermisst haben, werden Sie froh sein, dass Sie die Türkei besucht haben.
Was kosten Zahnbehandlungen in der Türkei?
Wir alle wissen, dass Zahnbehandlungen sehr vielfältig sind. Aber wissen Sie auch, dass die Preise für Zahnbehandlungen in der Türkei sehr günstig sind? Die Preise für Zahnbehandlungen in der Türkei reichen von 315,00 € bis 7150 €. Die Preise variieren je nach Umfang der Behandlung, Dauer der Behandlung und Anzahl der Zähne.
Die Türkei ist das einzige Land, in dem solche günstigen Zahnbehandlungen möglich sind. Welche Behandlung für Sie in Frage kommt und wie hoch die Behandlungskosten sind, können Sie nach der ersten Untersuchung herausfinden. Rufen Sie uns dazu an. Alle Behandlungen werden von professionellen Zahnärzten in unseren voll ausgestatteten Zahnkliniken durchgeführt.
Unsere Klinik in Istanbul, Türkei
| Kosten für Zahnbehandlungen in der Türkei | |||
| MARKEN | GBP | USD | EURO |
| Straumann Original 🇨🇭 | £ 570 | $ 800 | €670,00 |
| Straumann Medentika 🇩🇪 | £ 350 | $ 500 | €420,00 |
| Straumann Zinedent 🇹🇷🇩🇪 | £ 350 | $ 475 | €400 |
| Astra 🇸🇪 | £ 650 | $ 900 | €750 |
| Megagen 🇹🇷🇰🇷 | £ 350 | $ 475 | €400 |
| Osstem 🇰🇷 | £ 450 | $ 625 | €530 |
| Mode 🇹🇷 | £ 350 | $ 500 | €420 |
| Nucleos 🇹🇷 | £ 250 | $ 320 | €270 |
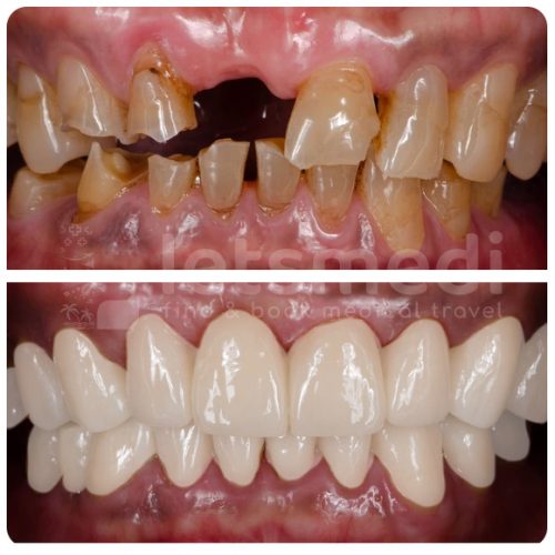
Zahnbehandlungen Vorher & Nachher Fotos















Erfahrungen von Zahnimplantaten in der Türkei
FAQ
In der Türkei gibt es verschiedene Fachrichtungen für Zahnbehandlungen. Private Spezialisten arbeiten in allen Zahnkliniken und es gibt verschiedene Abteilungen. Es gibt viele Kliniken für Zahnbehandlungen in der Türkei. Sie sind alle erfahren und preisgünstig. Die Behandlungen werden mit modernsten Methoden durchgeführt. Die Türkei wird Ihre beste Wahl für Zahnbehandlungen sein und Sie werden es nicht bereuen.
Für jede Zahnbehandlung gilt eine andere Preispolitik. Wenn wir sie mit Europa im Allgemeinen vergleichen, sehen wir, dass die Preise für Zahnbehandlungen in der Türkei sehr günstig sind. Es gibt einen großen Preisunterschied. Die Türkei ist eines der günstigsten Länder, was die Preise angeht. Wenn Sie mehr als eine zahnärztliche Behandlung durchführen lassen wollen, ist dies ein wichtiger Vorteil für Sie.
Jede Zahnbehandlung ist anders. Einige werden am selben Tag abgeschlossen, während andere mehrere Tage dauern können. Zahnbehandlungen in der Türkei werden innerhalb von 1 Woche und 10 Tagen abgeschlossen. Denn die in den Kliniken verwendeten zahnmedizinischen Geräte sorgen dafür, dass die Behandlungen in kurzer Zeit abgeschlossen sind.
Ja, die Krankenkasse übernimmt die Kosten für die zahnärztliche Behandlung. Die Krankenversicherung gibt Ihnen einen gewissen Spielraum, damit der Zahnarzt über die Krankenkasse abrechnen kann. Der Zahntarif sieht auch bestimmte zahnärztliche Verfahren vor, die von der Versicherung übernommen werden.
Wenn Sie einen Preisvergleich für Zahnbehandlungen durchführen, sollten Sie darauf achten, für welche Zahnbehandlung Sie den Preis ermitteln. Denn die Preise für Zahnbehandlungen variieren je nach Behandlung. Die Preise in Großbritannien, den USA, Irland, Kanada und der Türkei sind unterschiedlich. Wir können hier keine genauen Preise angeben, weil es Dutzende von verschiedenen Zahnbehandlungen gibt. Die Budgetierung Ihrer Zahnbehandlung kann manchmal eine Herausforderung sein. Wahrscheinlich haben Sie sich bereits über die Kosten für eine von Ihnen benötigte Behandlung informiert, aber vielleicht haben Sie nicht die richtigen Informationen. Die Preise für zahnärztliche Eingriffe sind sehr unterschiedlich, vor allem, wenn Sie keine Zahnversicherung haben und aus eigener Tasche zahlen müssen. Jeder braucht irgendwann einmal eine Zahnbehandlung. Aber nicht jeder ist bereit, für die Versicherung zu zahlen. Vielleicht haben Sie schon einmal über die Kosten nachgedacht, die mit einer entsprechenden Behandlung verbunden sind. Wenn Sie erwägen, Ihre Zahnbehandlung aus eigener Tasche zu bezahlen, ist es wichtig, die allgemeinen Kosten dieser Verfahren zu kennen. Auch wenn es profitabel erscheinen mag, die Vorabkosten für eine Zahnversicherung zu vermeiden, kann eine gute Zahnversicherung die Gesamtkosten der Behandlung erheblich senken.
Die restaurative Zahnheilkunde und ihre Behandlung ist ein Wissenschaftszweig, der den durch Karies oder nicht kariöse Gründe verursachten Materialverlust in Zahnhartgewebe repariert und zur Wiederherstellung verlorener Ästhetik und Funktion für den Patienten beiträgt. Porzellanlaminate sind sehr dünne Porzellanstrukturen, die an den Vorderflächen der Zähne haften. Mit Porzellanlaminaten können die Lücken zwischen den Zähnen geschlossen, ihre Länge verlängert und neu geformt, gebrochene, rissige, schlecht geformte und stark gefärbte Zähne können ein schönes Aussehen erhalten. Darüber hinaus für diejenigen, denen die Farbe ihrer Zähne nicht gefällt, die eine dauerhafte Weisheit wünschen, zum Zwecke der Lächeln Gestaltung bei Patienten, die ihr Lächeln nicht mögen, zur Zwecke der Lächeln Gestaltung, bei der Korrektur von Zähnen, die bereits waren verfärbt durch Antibiotika, bei der Korrektur leicht schiefer Zähne, kieferorthopädischer Behandlung, die eine kieferorthopädische Behandlung erfordert, Engstände können in wenigen Sitzungen korrigiert werden.
Treten nach Zahnextraktion Komplikationen auf, wird das Implantat nach einer Wartezeit von 3 Monaten eingesetzt. Es kann 8 bis 12 Wochen dauern, bis Implantat Anwendungen die Konsistenz erreichen, die zu einem natürlichen Zahn wird. Wenn der Knochen reift und heilt, wird ein Zahn auf das Implantat gesetzt. Dies wird auch als prothetische Anwendung bezeichnet. In manchen Fällen kann bei ausreichend gesundem Kieferknochen noch am Tag der Zahnextraktion ein Zahnimplantat eingesetzt werden. In den meisten Fällen empfiehlt der Zahnarzt jedoch, nach der Zahnextraktion 3 bis 6 Monate zu warten, damit der Bereich vollständig heilen kann.
Laut Liste von 2022 Zahnarztuntersuchung 11 Euro, Fachzahnarztuntersuchung 12 Euro, Regional Tomographie 16 Euro, Lokalanästhesie 20 Euro, Wurzelkanalbehandlung 100 Euro für einen Kanal ohne Füllung, Sensibilisierungsbehandlung 50 Euro für einen Zahn, Milchzahnwurzel Kanalbehandlung 200 Euro, Acryl-Totalprothese für Einzelkinn 2000 Euro, Zahn Extraktion 100 Euro. Aus diesem Grund können die Gehälter von Zahnärzten, die eine eigene Klinik haben, viel höher sein als die von Ärzten, die in Krankenhäusern arbeiten. Die Gehälter von Zahnärzten in Privatkliniken können im Durchschnitt zwischen 800 Euro und 1.500 Euro variieren.
Es gibt keine klaren Informationen zu diesem Thema. Nur der Arzt entscheidet was für kosten es beinhaltet.
Das Implantat kann von qualifizierten Ärzten durchgeführt werden, die Zahnärzte sind und über eine fortgeschrittene chirurgische Ausbildung verfügen.“ Zahnimplantate sind künstliche Zahnwurzeln, die im Mund hergestellt werden, um Zähne zu ersetzen, die aus irgendeinem Grund gezogen oder verschoben wurden. Der Abschnitt, der die Gesundheit des Weichgewebes und die Implantat Behandlung rund um das Zahnfleisch und die Zähne umfasst, ist der Abschnitt Parodontologie. Darüber hinaus wird die Implantat zahnärztliche Behandlung grundsätzlich von zwei Abteilungen durchgeführt. Der chirurgische Eingriff wird von einem Facharzt für Mund-, Zahn- und Kieferheilkunde und einem Zahnfleischspezialisten (Parodontologen) durchgeführt. Für eine Implantat Behandlung in öffentlichen und privaten Krankenhäusern muss zunächst ein Termin im Krankenhaus vereinbart werden.


